Inspired by Jian et al. Medicine 2018

Last Saturday (3rd November 5, 2018) I was lecturing on the BMAS Foundation Course, and during the morning coffee break I received one of my regular email alerts from PubCrawler – an Irish website that searches (or crawls) PubMed (the US National Library of Medicine) leaving you free to go to the pub! It was somewhat ironic that I was about to give the Safety Brief for the course, when I received notification of this fatal case report – a death from bilateral tension pneumothorax in Shanghai, China.[1]
Reports of deaths from acupuncture are very rare, but there may be a degree of under-reporting, as can be inferred to some degree by this case. The last fatality reported was a curious one, possibly related to strong needling around the vagus nerve in the neck,[2] and prior to that there had been no reports for 10 years.[3]
…why emphasize this risk of which we should all be very aware?
So, this is another report of pneumothorax – why emphasize this risk of which we should all be very aware? Well, it was fatal, and most are not, but the remarkable features of this case relate to the postmortem diagnosis and the wonderful images provided by the authors.
A 52 year old man of apparently normal constitution received acupuncture and cupping treatment at an ‘illegal’ Chinese medicine clinic some 30 hours before being admitted to hospital with severe dyspnoea. He had been treated with 0.25x75mm needles to a variety of points on the dorsal and low back, some of which were clearly over the lung fields. It is not clear how deep the needles were inserted, but 30mm needles are long enough to reach the lung in some of the points used, so there is no question that the lungs were within easy reach of 75mm needles.
…there is no question that the lungs were within easy reach of 75mm needles.
It was not clear that he had acupuncture, so the early suspicion was of airway blockage. The patient collapsed 30 minutes after admission and cardiopulmonary resuscitation was attempted for an hour, although tension pneumothorax was clearly not suspected.
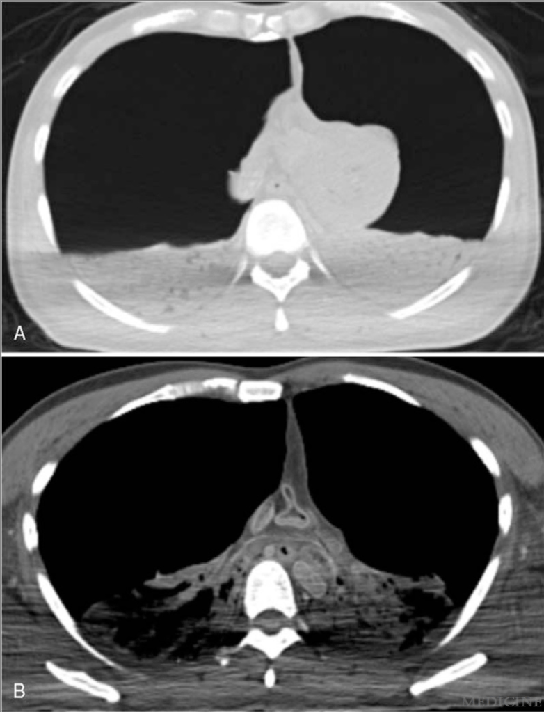
The body was frozen after death and then thawed before being subject to post-mortem computed tomography (PMCT), some 207 hours after death. The CT images demonstrate dramatic collapse and compression of both lungs as well as severe compression in the upper mediastinum. The trachea appears to be only mildly deviated because of bilateral tension, so this important sign in unilateral tension pneumothorax would not have been apparent on resuscitation.


Full body PMCT was a new concept to me, and in this case, it was highly instructive. It led the forensic examiners to perform a pneumothorax test – making a small opening into each side of the chest underwater to look for formation of bubbles. I spent a whole summer in the pathology department in Leeds, and assisted at many post mortems, but I had not seen nor heard of this test before, so clearly it is not routinely performed.

This is a very well described and wonderfully illustrated forensic case report, but most importantly it is a reminder to all of us who needle over the thorax to be vigilant in our techniques. The BMAS has published guidelines on safe needling over the thorax.
References
- Jian J, Shao Y, Wan L, et al. Autopsy diagnosis of acupuncture-induced bilateral tension pneumothorax using whole-body postmortem computed tomography: A case report. Medicine (Baltimore) 2018;97:e13059. doi:10.1097/MD.0000000000013059
- Watanabe M, Unuma K, Fujii Y, et al. An autopsy case of vagus nerve stimulation following acupuncture. Leg Med (Tokyo) 2015;17:120–2. doi:10.1016/j.legalmed.2014.11.001
- Chang S-A, Kim Y-J, Sohn D-W, et al. Aortoduodenal fistula complicated by acupuncture. Int J Cardiol 2005;104:241–2. doi:10.1016/j.ijcard.2004.12.035
You must be logged in to post a comment.