Stimulated by Reindorf et al and Song et al 2025.[1,2]

AE – adverse event
TrP – trigger point (generally this refers to a myofascial TrP or MTrP)
IF – impact factor
BMI – body mass index (normal range is 20 to 25)
COPD – chronic obstructive pulmonary disease
ER – emergency room
VATS – video-assisted thoracoscopic surgery– key to acronyms
It is not uncommon for me to choose adverse events to round off the year (see Acupuncture AEs 2024, Nerve injury, lymphoedema, and a giant haematoma, AEs in Korea and Japan 2022, Acupuncture and cellulitis risk, and Needle trouble 2020).
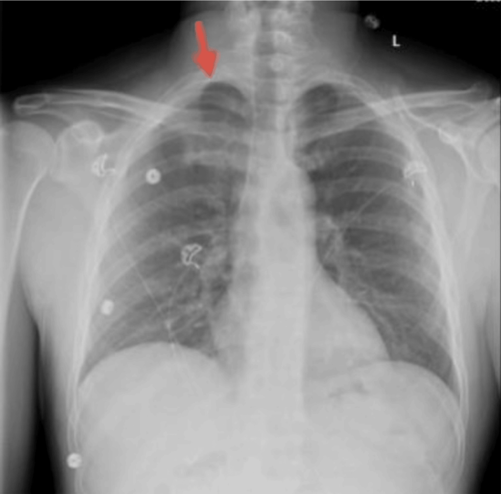
In this case the paper that caught my attention was an AE related to TrP injection from the US and reported in the journal Cureus (IF 1.3). A 38-year-old man with a BMI of 23 and a history of chronic back pain, prior L5-S1 fusion, migraines, obstructive sleep apnoea, COPD, Factor V Leiden mutation (not on anti-coagulants), and active tobacco use, presented to the ER some hours following TPIs at ‘an outside’ pain clinic. Presumably ‘outside’ is relative to the hospital where the ER was positioned, which I guess was the University of Maryland Medical Centre.
Apparently a 1.5-inch needle fragment had been retained in the patient’s back following a TPI, but the patient was unaware and there was no detail in the medical notes from the clinic where the TPIs had been performed. Indeed, there was very little detail. Missing information included the length and gauge of the needle or needles used, the nature and volume of the injectate, the use of ultrasound guidance, anatomical landmarks, or the target muscle of the TPIs.
The patient developed right sided back pain that was worse on inspiration some 2.5 hours following the TPIs. He was relatively stable on admission and had a small right apical pneumothorax. A metallic foreign body was seen in the lower right chest field, and this was removed using VATS.
The authors recommend ultrasound guidance when needling in high-risk anatomical regions; however, whilst this seems superficially sensible, it is not likely to influence the rare event of needle fracture inside the soma, and it is no guarantee of avoiding serious AEs.[3]
With regard to VATS, we have seen this used before in 2007 for removal of an acupuncture needle fragment that migrated more slowly (5 years) to cause a pneumothorax.[4]
The second paper is a letter in the International Journal of Ophthalmology (IF 1.8) and reports on two cases of ocular perforation by acupuncture needles (one each). The paper comes from Xi’an, China, and the patients were being treated for hypertension and facial paralysis respectively.

Eye injuries have been highlighted here before (see Periocular and ocular AEs 2025, Hearts lungs and eyes 2022, and Ocular AEs from 2021) and I seem to have used the same image of a lovely (undamaged) blue green eye for each.
The authors list five references to previous of penetrating ocular injuries over nearly 2 decades,[5–9] but I was sure I had a few more in my records… indeed, I found 6 more reports,[10–15] some of which I will show you tonight at the webinar (note it is a day early).
The bottom line is that you should not be needling anywhere near the globe of the eye (ie inside the orbital margins) with an acupuncture needle without a very good reason… and personally I cannot think of one.
References
1 Reindorf R, Saju J, Lee SJ, et al. Complication of Trigger Point Injections: Retained Injection Needle Causing Pneumothorax. Cureus. 2025;17:e95679. doi: 10.7759/cureus.95679
2 Song H-P, Li C-H, Chen T, et al. Ocular perforating injury by an acupuncture needle: two cases reports. Int J Ophthalmol. 2025;18:2400–2. doi: 10.18240/ijo.2025.12.26
3 Jung J-W, Kim SR, Jeon SY, et al. Cardiac Tamponade Following Ultrasonography-Guided Trigger Point Injection. J Musculoskelet Pain. 2014;22:389–91. doi: 10.3109/10582452.2014.907850
4 von Riedenauer WB, Baker MK, Brewer RJ. Video-assisted thorascopic removal of migratory acupuncture needle causing pneumothorax. Chest. 2007;131:899–901. doi: 10.1378/chest.06-1443
5 Lee S-Y, Chee S-P. Group B Streptococcus endogenous endophthalmitis: case reports and review of the literature. Ophthalmology. 2002;109:1879–86. doi: 10.1016/s0161-6420(02)01225-3
6 Fielden M, Hall R, Kherani F, et al. Ocular perforation by an acupuncture needle. Can J Ophthalmol J Can Ophtalmol. 2011;46:94–5. doi: 10.3129/i10-122
7 You TT, Youn DW, Maggiano J, et al. Unusual ocular injury by an acupuncture needle. Retin Cases Brief Rep. 2014;8:116–9. doi: 10.1097/ICB.0000000000000018
8 Han S, Kong Y. A case of perforating injury of eyeball and traumatic cataract caused by acupuncture. Indian J Ophthalmol. 2016;64:326. doi: 10.4103/0301-4738.182952
9 Denstedt J, Schulz DC, Diaconita V, et al. Acupuncture resulting in eye penetration and proliferative vitreoretinopathy – Surgical and medical management with intraocular methotrexate. Am J Ophthalmol Case Rep. 2020;18:100605. doi: 10.1016/j.ajoc.2020.100605
10 Xu F, Jin C. Acupuncture and Ocular Penetration. Ophthalmology. 2021;128:217. doi: 10.1016/j.ophtha.2020.09.024
11 Zhou X, Chen H, Fu J, et al. Endophthalmitis with retained intraocular foreign body after catgut embedding at periocular acupoints. Clin Exp Optom. 2021;1–2. doi: 10.1080/08164622.2021.1947743
12 Wu P, Li N, Gao L. Inadvertent Ocular Perforation Caused by Traditional Acupuncture. JAMA Ophthalmol. 2022;140:e221823. doi: 10.1001/jamaophthalmol.2022.1823
13 Lee S-M, Wu J, Hwang DD-J. Severe Adverse Events of Periocular Acupuncture: A Review of Cases. Korean J Ophthalmol. Published Online First: 17 April 2023. doi: 10.3341/kjo.2022.0111
14 Huang Y-C, Wang N-K, Liu P-K. Periocular Acupuncture Leading to Retinal Tear and Successful Repairment. Retina. Published Online First: 6 August 2024. doi: 10.1097/IAE.0000000000004234
15 Yao B, Yu H, Liu G, et al. Vitreous haemorrhage and retinal detachment secondary to acupoint BL1 acupuncture. Eye. Published Online First: 13 February 2025. doi: 10.1038/s41433-025-03689-2
You must be logged in to post a comment.