Stimulated by Lee et al 2019.[1] Photo by Anton Nikolov on Unsplash.My favourite place to get images is Unsplash. It doesn’t have anything on the retroperitoneum or abscesses, so I went with loin, and then kidney, and found this lovely image of a kidney shaped lake. The title may sound to you like another adverse … Continue reading Retroperitoneal abscess with pylephlebitis
Category: Imaging
Laparoscopic needle fragment removal 2019
Stimulated by Liu et al 2019.[1] Photo by Idella on Unsplash.This image is chosen to illustrate the phrase 'like trying to find a needle in a haystack', and it reminds me of the difficulties surgeons used to have in finding embedded foreign bodies. This is a noteworthy case because it is the first report I … Continue reading Laparoscopic needle fragment removal 2019
Spinal AEs 2019
Stimulated by Tucciarone et al and Choi et al 2019.[1,2] Photo by Jairo Alzate on Unsplash. These two papers popped up on one of my PubMed searches on Monday 22nd July. They are both adverse events related to acupuncture in the region of the spine. One avoidable, and the other probably not, and both in … Continue reading Spinal AEs 2019
Piriformis revisited
In regret triggered by the title of Probst et al 2019.[1] This diagram illustrates the anatomical location of piriformis relative to the pelvis, and the characteristic pain referral patterns that form part of the myofascial syndrome. The blue dots on the leg represent tingling that might occur if there is nerve entrapment in piriformis syndrome. … Continue reading Piriformis revisited
Spinal epidural abscesses
Inspired by Shew et al 2019.[1] Shew et al 2019.[1] This is the first reported case of a spinal epidural abscess as a possible complication of acupuncture treatment in New Zealand. It is the 15th such report I can find in the literature (on PubMed), but this report and most others cannot make irrefutable causal … Continue reading Spinal epidural abscesses
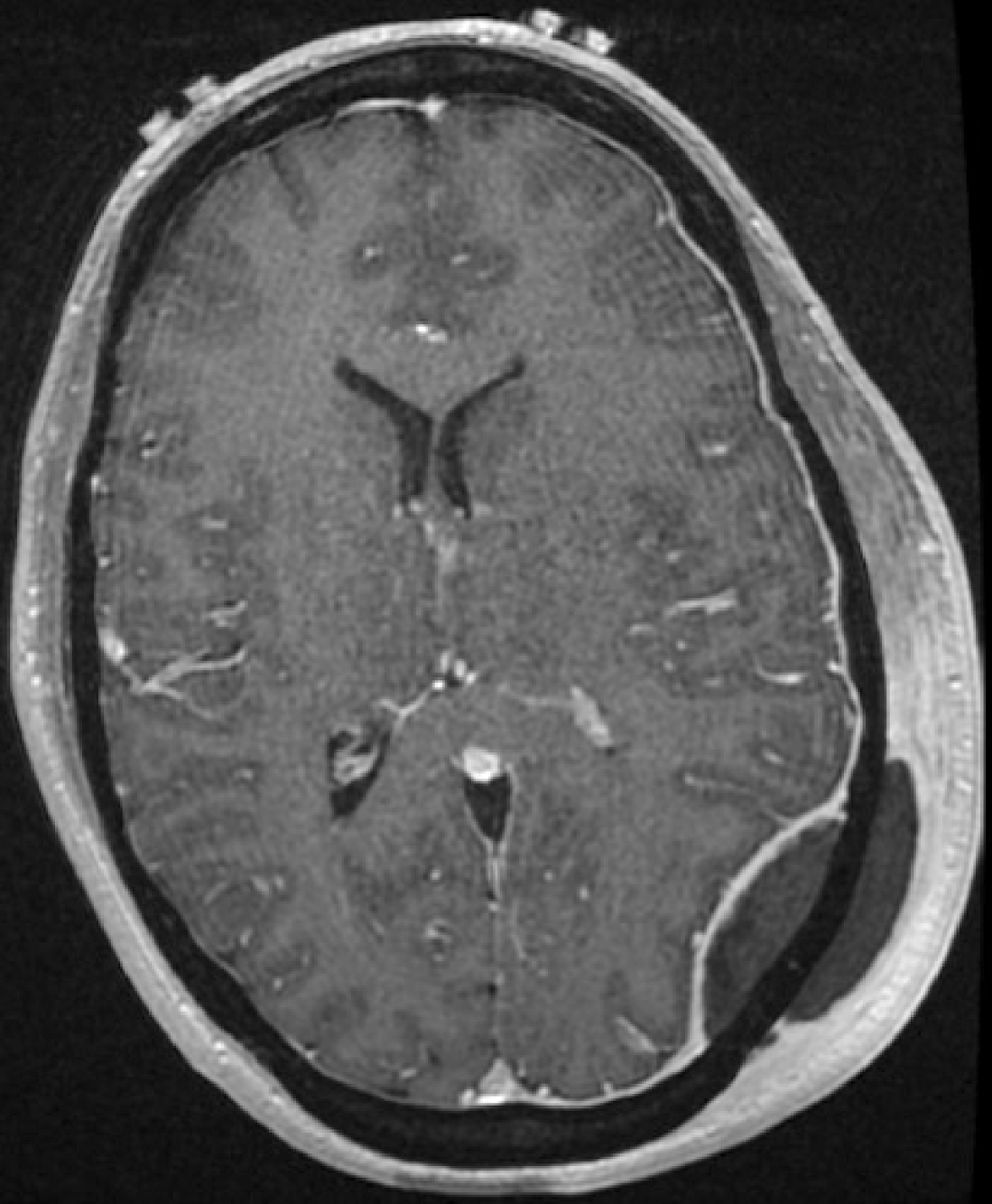
Cranial epidural abscess
Inspired by Priola et al 2019.[1] This is the first reported case of a cranial epidural abscess as a likely complication of acupuncture treatment. The report was written by the specialist neurosurgical team under whom the patient was admitted. This is often the case in such unusual and serious adverse events, but it also limits … Continue reading Cranial epidural abscess
Another fatality
Inspired by Jian et al. Medicine 2018 Last Saturday (3rd November 5, 2018) I was lecturing on the BMAS Foundation Course, and during the morning coffee break I received one of my regular email alerts from PubCrawler – an Irish website that searches (or crawls) PubMed (the US National Library of Medicine) leaving you free to … Continue reading Another fatality
Needle migration in the neck
Comments by Michael Meinen (MM) and Mike Cummings (MC) This blog was first published on 24th August 2018 on https://blogs.bmj.com/aim/ Case report El-Wahsh S, Efendy J & Sheridan M. Migration of self-introduced acupuncture needle into the brainstem. J Neurosci Rural Pract 2018; 9(3): 434 – 436. Presentation An elderly man presented to an emergency department after … Continue reading Needle migration in the neck
Rewiring the brain with acupuncture
– does sophisticated MRI data point us to optimal treatment? This blog was first published on 25th January 2018 on BMJ Blogs, this blog has been removed, so it was reproduced here. For some time, a group on the US east coast have been quietly scanning brains with functional magnetic resonance imaging (fMRI) and related techniques … Continue reading Rewiring the brain with acupuncture
Why not needles for OA – no steroid, just the needles!
This blog was first published on 30th May 2017 on https://blogs.bmj.com/aim/ This piece has been stimulated by a recent publication in JAMA evaluating the use of regular intra-articular corticosteroid injections for symptom management and cartilage volume in osteoarthritis (OA) of the knee.[1] Previous research had suggested that the inflammatory process in the knee was associated with … Continue reading Why not needles for OA – no steroid, just the needles!










You must be logged in to post a comment.